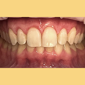
Assuring, ambient, expert treatment for the best smile
Where every smile is nurtured with care and crafted with excellence
Speak with our experts about how your smile can be transformed
Dr. Nitam Narkhede is passionate about engaging with patients of diverse age-groups, making them comfortable, and helping them restore their confidence in their smile. Her key strengths include Smile Designing with complete smile makeover, Clear aligners /
, FMR (full mouth reconstruction) including Dental Implant and Root Canal Treatments.
| 25+ years of practice, including 13 years in India and 10+ years in the UK | |
| PG Diplomas in Aesthetic Dentistry and Restorative dentistry. | |
| Bachelor's in Dentistry from Pune University, India. | |
| Completed certificate courses in different Teeth alignment systems, Facial Aesthetics and Implantology. | |
| Holds fellowship in Dental Laser | A comprehensive provider of Invisalign. |
| PG Diploma in Implantology - pursuing | |
| Apart from the dentistry, possesses diverse interests in various art forms like singing, dancing, painting, and such. |

“ You never get a second chance to make a first impression ! "
– Will Rogers
Indeed ! These small tweaks of cosmetic dentistry offer you a chance to make a great impression. Explore some of the options you have.
Teeth Whitening |
|
| - | Lighten and remove stains or discoloration. |
| - | Various methods like In-office treatments, at-home kits, and laser whitening. |
Dental Veneers |
|
| - | Dramatically improve teeth appearance by placement of thin shells on the front of the teeth |
| - | Corrects issues like chips, stains, or misalignment. |
| - | Material options like Porcelain or composite resin. |
Dental Crowns |
|
| - | Cover and restore a damaged or weakened tooth, providing both strength and aesthetics. |
| - | Material options like Porcelain, ceramic, or metal. |
Bonding |
|
| - | Fix minor imperfections like chips or cracks in the teeth by applying a tooth-colored resin. |
| - | Non-invasive treatment, often completed in one visit. |
Invisalign (Clear Aligners) |
|
| - | Straighten teeth discreetly with clear, removable aligners. |
| - | Comfortable, less noticeable alternative to traditional braces. |
Gum Contouring |
|
| - | Reshape the gum line for a more balanced and symmetrical smile. |
| - | Get rid of your uneven or excessive gum tissue that affects the appearance of teeth. |
Dental Implants |
|
| - | Replace missing teeth with artificial roots and crowns, providing a permanent solution. |
| - | Restores both function and aesthetics with a natural look. |
Smile Makeover |
|
| - | Combination of multiple cosmetic procedures tailored to improve a person's overall smile. |
| - | Includes whitening, veneers, crowns, and sometimes orthodontics. |

Full Mouth Rehabilitation (Restorative Dentistry) is a comprehensive approach to restoring the function, health, and aesthetics of a person's entire mouth. This process often involves a combination of multiple treatments to address a wide range of dental issues, including severe wear, tooth decay, missing teeth, and gum disease.
Key Goals of Full Mouth Rehabilitation |
|
| - | Restoring Function : Ensuring that the teeth work effectively for biting, chewing, and speaking. |
| - | Aesthetic Enhancement : Improving the appearance of the teeth, gums, and overall smile. |
| - | Oral Health Restoration : Correcting underlying dental problems to ensure long-term oral health. |
Common Procedures Involved in Full Mouth Rehabilitation |
|
| - | Dental Implants : |
| - | Crowns and Bridges : |
| - | Inlays and Onlays : |
| - | Full or Partial Dentures : |
| - | Orthodontics (Braces or Clear Aligners) : |
When Full Mouth Rehabilitation is Necessary |
|
| - | Severe Tooth Decay : When cavities are widespread and fillings or crowns are needed for most of the teeth. |
| - | Missing Teeth : Multiple or all teeth are missing, which can affect eating, speaking, and facial appearance. |
| - | Broken or Worn-Down Teeth : Extensive damage due to injury, wear, or bruxism (teeth grinding). |
| - | Gum Disease : Severe gum disease that has led to tooth loss or has compromised the foundation of the teeth. |
| - | Jaw Issues: : Misalignment of the jaw (malocclusion) that affects both appearance and function. |
Types of Dentures |
|
| - | Complete Dentures : Replace all teeth in an arch. |
| - | Partial Dentures : Replace only some missing teeth. |
| - | Immediate Dentures : Placed on the same day teeth are extracted. |
| - | Implant-Supported Dentures : Attached to dental implants for added stability. |


Teeth alignment refers to the proper positioning of your teeth, which affects both the aesthetics of your smile and the functionality of your bite. When teeth are misaligned, it can lead to a variety of issues, including difficulty in chewing, speaking, jaw pain or other complications.

Invisalign is one of the most popular methods for straightening teeth without traditional metal braces. It uses a series of custom-made, clear plastic aligners that gradually move your teeth into the correct position. Here's how it works :
How Invisalign Works |
|
| - | Initial Consultation : Your orthodontist or dentist will assess your teeth and take impressions or 3D scans. |
| - | Custom Aligners : Using your dental impressions, Invisalign creates a series of clear, custom aligners that will be worn in a specific order. |
| - | Wearing the Aligners : You wear each set of aligners for about 1-2 weeks, removing them only to eat, drink, brush, and floss. The aligners gradually shift your teeth into the desired positions. |
| - | Regular Checkups : Throughout your treatment, you’ll have periodic checkups to ensure progress and receive new aligners as needed. |
| - | Completion : Once the treatment is finished, you may need to wear a retainer to maintain your new smile. |
Advantages of Invisalign |
|
| - | Aesthetic Appeal : The aligners are clear and virtually invisible, making them a more discreet option compared to metal braces. |
| - | Comfort : Invisalign aligners are smooth and customized to fit your teeth, meaning they’re generally more comfortable than traditional braces. |
| - | Removability : Since you can remove them to eat and brush your teeth, there's no need to worry about food getting stuck or brushing becoming difficult. |
| - | Less Frequent Visits : Invisalign generally requires fewer visits to the orthodontist since you’re changing the aligners at home. |

Process of implants contains several critical steps, in order to make a successful procedure.
Initial Consultation & Evaluation |
|
| - | Comprehensive Oral Exam : Your dentist will assess your overall oral health, including taking X-rays or 3D scans of your jaw to determine bone density. This helps determine if you have enough bone to support the implant or if you might need a bone graft. |
| - | Treatment Plan : The dentist will create a tailored treatment plan based on your needs, which may involve deciding if additional procedures (like bone grafting or sinus lifts) are necessary. |
Surgical Placement of the Implant |
|
| - | Surgical Procedure : The implant itself is surgically placed into the jawbone. This is typically done under local anesthesia or conscious sedation to ensure you’re comfortable. If you're nervous, you might be offered sedation options to make the procedure more relaxed. |
| - | Types of Implants : Some dental practices might offer different types of implants, including traditional implants, mini implants (for areas with less bone), or all-on-4 implants (for replacing full arches of teeth with fewer implants). |
Bone Grafting or Sinus Lift (if needed) |
|
| - | If your jawbone is too thin or soft to support a dental implant, your dentist might suggest bone grafting. This involves adding bone material to the area to build up the jawbone. Sinus lifts might be performed in the upper jaw to increase bone volume if the sinus cavities are too close to the jaw. |
Osseointegration Period |
|
| - | After the implant is placed, you'll need to wait a few months for the implant to fuse with the bone (osseointegration). This is a critical stage for the success of the implant. |
| - | During this time, your dentist will typically schedule follow-up appointments to monitor your healing progress. |
Abutment Placement & Crown Design |
|
| - | Abutment Placement : After the implant has integrated with the bone, the dentist places a small connector piece (the abutment) on the implant. This connects the implant to the final crown. |
| - | Crown Fabrication : Your dentist will take impressions of your mouth to create a custom crown that matches the color, shape, and size of your natural teeth. This crown is designed to be durable and natural-looking. |
Final Placement of the Crown/Bridge |
|
| - | Once your custom crown is ready, it is attached to the abutment, completing the implant process. This restores both function and aesthetics, allowing you to eat, speak, and smile confidently again. |
Follow-up Care & Maintenance |
|
| - | After the crown is placed, your dentist will schedule follow-up appointments to ensure everything is healing properly. They may also provide instructions on how to care for your new implant, including oral hygiene tips. |
| - | Regular Check-ups : You'll need to see your dentist regularly for check-ups and cleanings to maintain the health of both your implants and surrounding teeth. |

A root canal is a dental procedure used to treat infection or damage to the pulp (the soft tissue inside a tooth that contains nerves and blood vessels). When the pulp becomes infected or inflamed due to deep cavities, cracks, or trauma, a root canal can save the tooth from being extracted.
Here's what typically happens during a root canal |
|
| - | Anesthesia : The dentist numbs the area around the tooth to ensure you're comfortable. |
| - | Accessing the Pulp : The dentist drills a small hole into the tooth to access the pulp chamber. |
| - | Cleaning : The infected or damaged pulp is removed, and the inside of the tooth is cleaned and shaped. |
| - | Filling : The empty space is filled with a special material to seal it and prevent future infection. |
| - | Sealing and Restoration : The tooth is sealed, and often a crown is placed on top to restore the tooth's shape, function, and strength. |
The procedure itself isn't usually painful because of the anesthesia, though you may experience some discomfort or mild swelling afterward as the area heals. Root canals are generally highly effective in saving teeth that might otherwise need to be pulled.

The process of a smile makeover is a transformational journey designed to improve the aesthetics of your smile. It typically involves several steps
Initial Consultation and Assessment |
|
| - | You'll meet with a cosmetic dentist to discuss your goals, concerns, and what you envision for your ideal smile. |
| - | The dentist will review your medical and dental history and conduct a thorough examination of your teeth, gums, and bite. |
| - | They may take X-rays, digital scans, and photographs to get a comprehensive understanding of your oral health and current smile. |
| - | This consultation is your opportunity to ask questions and express your desires for the makeover. |
Creating a Customized Treatment Plan |
|
| - | Based on your consultation, the dentist will develop a personalized treatment plan tailored to your specific needs and goals. |
| - | This plan will outline the procedures involved, the order in which they will be performed, the estimated timeline, and the associated costs. |
| - | A smile makeover can involve one or more cosmetic and restorative procedures, such as : |
||
| - | Teeth Whitening |
- | Dental Bridges |
| - | Dental Veneers |
- | Dental Implants |
| - | Dental Bonding |
- | Gum Contouring |
| - | Dental Crowns |
- | Inlays and Onlays |
| - | Orthodontic Treatment (Braces or Clear Aligners like Invisalign) |
||
Pre-Treatment Preparation |
|
Before starting cosmetic procedures, it's crucial to ensure your teeth and gums are healthy. This may involve : |
|
| - | Treating any existing cavities or gum disease. |
| - | Professional teeth cleaning to remove plaque and tartar. |
| - | Addressing any underlying oral health issues that could affect the outcome of the makeover. |
| - | In some cases, temporary restorations or appliances might be used to help visualize the final result. |
The Cosmetic Transformation (Performing the Procedures) |
|
| - | This phase involves undergoing the treatments outlined in your personalized plan. |
| - | The number of appointments and the duration of this phase will depend on the complexity of your makeover. |
| - | For example, teeth whitening might be completed in one visit, while dental implants can take several months. |
| - | Your dentist will focus on precision and comfort throughout the process. |
Final Adjustments and Reveal |
|
| - | Once the primary procedures are completed, your dentist will assess your new smile to ensure it meets your expectations and that everything is functioning correctly. |
| - | Minor adjustments may be made to the shape, fit, or color of restorations. |
| - | This is the exciting moment when you get to see the final result of your smile makeover. |
Maintenance and Follow-Up Care |
|
| - | To maintain your new smile, it's essential to practice good oral hygiene, including : |
| - | Regular dental check-ups and cleanings are crucial for the long-term health and appearance of your smile makeover. |

Dental lasers are a modern technology used in a variety of dental procedures. Instead of traditional tools like drills and scalpels, dentists use focused light beams to perform tasks with greater precision and often with less pain and faster healing.
Here's a breakdown of what you should know about dental lasers : |
|
How Dental Lasers Work |
|
| - | Dental lasers emit a narrow, intense beam of light energy. |
| - | When this light comes into contact with tissue, it causes a reaction, allowing the dentist to cut, shape, or remove tissue. |
| - | Different types of lasers emit light at different wavelengths, and these wavelengths are absorbed differently by various tissues (hard tissue like teeth and bone, or soft tissue like gums). This allows for targeted treatment. |
Types of Dental Lasers |
|||
Dental lasers are broadly categorized by the type of tissue they are most effective on : |
|||
| - | Hard Tissue Lasers : These lasers have wavelengths that are well-absorbed by the hydroxyapatite in teeth and bone. They are used for procedures like : |
||
Common types include : |
|||
| - | Soft Tissue Lasers : These lasers have wavelengths that are well-absorbed by water and hemoglobin (found in blood) in soft tissues. They are used for procedures like : |
||
Common types include : |
|||
Common Dental Laser Procedures |
|
Lasers are used in a wide range of dental treatments, including : |
|
| - | Cavity Treatment : Removing decay and preparing teeth for fillings |
| - | Gum Disease Treatment : Removing bacteria and diseased tissue from gum pockets. |
| - | Gum Reshaping : Correcting gummy smiles or uneven gum lines. |
| - | Frenectomy : Releasing restricted tongue or lip movement. |
| - | Lesion Removal : Removing benign tumors or other soft tissue growths. |
| - | Teeth Whitening : Activating whitening agents for faster and more effective results. |
| - | Sensitivity Treatment : Sealing tubules in the tooth root to reduce sensitivity to hot and cold. |
| - | Biopsies : Removing small tissue samples for examination. |
| - | Implant Procedures : Assisting in the placement and uncovering of dental implants. |
| - | Root Canal Therapy : Sterilizing the root canal. |

Facial aesthetic services encompass non-surgical treatments like injectables and laser therapies, alongside surgical procedures like facelifts and rhinoplasty. These treatments aim to address concerns regarding aging and aesthetics.
Facial aesthetic treatments - non-surgical and surgical - are aimed at enhancing the appearance of the face. These services address a variety of concerns related to aging, skin health, and facial features : |
|
Non-Surgical Treatments : |
|
Injectables : |
|
| - | Botox (Botulinum Toxin) : Used to reduce wrinkles and fine lines by temporarily paralyzing facial muscles. Commonly used on forehead lines, crow's feet, and frown lines. |
| - | Dermal Fillers : Injections of hyaluronic acid or other substances to restore volume loss, smooth wrinkles, and enhance facial contours (e.g., cheeks, lips, nasolabial folds). |
| - | PRP (Platelet-Rich Plasma) Therapy : Uses the patient's own blood platelets to stimulate collagen production, improve skin texture, and promote healing. Can be used for facial rejuvenation and hair restoration. |
Skin Rejuvenation Treatments : |
|
| - | Chemical Peels : Chemical solutions are applied to exfoliate the outer layers of the skin, improve texture and tone, and reduce pigmentation, acne scars, and fine lines. |
| - | Laser Therapy : Various types of lasers are used to address different skin concerns, such as wrinkles, pigmentation, redness, and hair removal. Examples include fractional lasers, IPL (Intense Pulsed Light), and laser resurfacing. |
| - | Micro-needling : A device with fine needles creates micro-injuries in the skin to stimulate collagen and elastin production, improving skin texture, reducing scars, and minimizing pore size. |
| - | Radiofrequency (RF) Treatments : Use energy waves to heat the deeper layers of the skin, tightening the skin and stimulating collagen production. |
There are several more modern treatments are available for your facial aesthetics. Talk to us for more details. |
|

Regular visit to your dentist is critical to your oral health and dental hygiene. Our dental hygienists are the experts in preventing tooth and gum diseases, and instrumental in providing a healthy smile.
Dental hygiene services are essential for maintaining good oral health. Below are some of the treatments / checkups offered by our dental hygienist |
|
Routine Cleanings (Prophylaxis): |
|
| - | Professional cleaning of teeth to remove plaque, tartar, and stains. |
| - | Usually performed every six months or as recommended by a dentist. |
Scaling and Root Planing : |
|
| - | A deep cleaning procedure used to treat gum disease. |
| - | It involves scraping away tartar and plaque from below the gum line and smoothing the tooth roots to promote gum healing. |
Fluoride Treatments : |
|
| - | Application of fluoride to strengthen teeth and prevent decay. |
| - | Often recommended for children and people at high risk of cavities. |
X-rays (Radiographs) : |
|
| - | Taken to detect problems not visible to the naked eye, such as cavities between teeth or bone loss from gum disease. |
| - | Essential for thorough dental evaluations. |
Sealants : |
|
| - | A protective coating applied to the grooves of the back teeth to prevent decay, particularly for children. |
Gum Disease Treatment : |
|
| - | Dental hygienists help in the early detection and treatment of gum disease (gingivitis or periodontitis) by providing advice and therapy to reduce gum inflammation. |
Oral Cancer Screenings : |
|
| - | Some dental hygienists screen for signs of oral cancer during regular appointments. |
Patient Education : |
|
| - | Hygiene professionals often give advice on proper brushing, flossing, and mouthwash use, along with nutritional counseling to prevent tooth decay and gum disease. |
Polishing : |
|
| - | Polishing the teeth after cleaning to remove surface stains and make the teeth feel smooth and clean. |
Bad Breath (Halitosis) Management : |
|
| - | Identifying causes of bad breath and offering solutions, such as improved oral hygiene or lifestyle changes. |

A specialized branch of dentistry that focuses on the prevention and treatment of oral and facial injuries related to sports and exercise. It also addresses the impact of oral health on athletic performance. Check out various treatments available with us.
Here are some of the treatments available for teeth related enjuries during sports : |
||
Management of Tooth Fractures |
||
Treatment options range from dental bonding for minor chips to crowns or root canal therapy for more severe fractures. |
||
Treatment of Tooth Displacement |
||
This may involve repositioning a displaced tooth and stabilizing it with a splint. For a knocked-out tooth (avulsion), prompt replantation is crucial for the best outcome. The tooth should be kept moist in milk or saline solution until the athlete can see a dentist. |
||
Repair of Soft Tissue Injuries |
||
Lacerations to the lips, cheeks, or tongue may require cleaning, suturing, or other treatments to promote healing and prevent infection. |
||
Management of Jaw Injuries |
||
Jaw fractures or dislocations require immediate care, often involving collaboration with oral surgeons to realign and stabilize the jaw. |
||
Treatment of TMJ Injuries |
||
Addressing pain, dysfunction, or dislocation of the temporomandibular joint. |
||
Restorative Treatments |
||
Procedures like fillings, crowns, bridges, or implants to repair or replace damaged or missing teeth due to sports injuries. |
||
I found Dr. Nitam and her Dental Technician very professional. I have recently had root canal treatment, and would recommend her as a dentist!
After consulting with Dr. Nitam, I decided to go ahead with the dental treatment to address my deep bite and crossed teeth issue. I was very apprehensive initially, although Dr. Nitam and her technician made me comfortable, made sure I understood what was happening, and made the whole process smooth and pleasant. I highly recommend Dr. Nitam. Thank you.
I had a very tricky root canal on one of my molars. The care I received from Nitam and her technician was outstanding! Despite having several allergies to dental materials, they made me completely at ease, and treated me with patience, kindness, and understanding. I trust Dr. Nitam completely with my teeth! If you need a dentist who genuinely cares about you, that's her!
I was so nervous to go to a dentist for such a long time! However, what a brilliant experience it was with Dr. Nitam and her team! They gave me back the biggest smile I could have wished for. I can't praise this practice enough! I will be grateful, forever!
I would fully recommend Dr. Nitam and her assistant Shamna. They are very caring and patient dentists, the treatments have been pain free and delivered with great expertise!
Just finished my Invisalign treatment with Dr. Nitam, and I am so pleased with the results. Earlier, I hated smiling, and now I can't stop! Currently having whitening and composite bonding treatment to perfect my smile even more. Wouldn't go anywhere else!!! Thank you.
Elite Smile Studio is a collaborative dental clinic, and believes in referrals for the patients' benefits. Be assured that your patients are in safe hands ! Our talented team has a collective experience of several decades that provides excellent quality treatment and superior aesthetic value to the patients.
Refer a Patient to Elite Smile Studio* You will be redirected to a Google Form.
Elite Smile Studio is committed to protecting your privacy and security of personal information. We will ensure that information you provide to us is kept private and confidential and we will only use it to provide the services you request. |
||
The data protection principles we uphold |
||
We will comply with data protection law. As per the law, the information that we hold must be used in a lawful, fair and transparent way. It should be collected only for valid purposes that we have clearly explained. Should be relevant to the purposes for which it was collected. Needs to be accurate and kept up to date. Also, kept only as long as necessary for the purposes for which it was collected. The data should be kept securely. |
||
Kind of information that we hold |
||
We collect and use some of these pieces of info: On-boarding info like name, address, phone, email etc. Client medical history, services provided to the clients, marketing information, monitoring details like CCTV, vehicle details, relationship info like special access requirements, and so on. |
||
Protecting your info |
||
We are a responsible and reasonable measures to protect personal information from unauthorised access, disclosure, alteration or destruction. Also, we keep personal information accurate and up-to-date as appropriate. We also seek to require our affiliates and service providers with whom we share personal information to exercise reasonable efforts to maintain the confidentiality of personal information about you. |
||
At Elite Smile Studio, we belive in putting the patient at the center of our services. We provide care for all age groups and offer quality family dentistry in a safe environment. Transparent and genuine pricing is the core of our clinic. Here are a tentative list of prices: |
||
New Patient Consultation |
||
From £ 75 |
||
Periodontal Treatment / Deep Cleaning |
||
From £ 125 |
||
Scale & Polish |
||
From £ 75 |
||
Root Canal Filling |
||
From £ 650 |
||
Bridge (per tooth) |
||
From £ 819 |
||
Flouride Application |
||
From £ 40 |
||
Elite Smile Studio intends to always assume the responsibility of keeping its patients satisfied, meeting their expectations of care and service, and resolving any complaints. We take complaints very seriously, we investigate them in a full and fair way, and take great care to protect your confidentiality. Learning from complaints in care and service is a part of our culture. |
||
Registration |
||
As a first step, be assured that you will be heard, and we will register your complaint. |
||
Initial Interaction |
||
Based on the nature of complaint, we will understand the details about the complaint and will arrange for a meeting or call, when the person is next available. We will keep comprehensive and confidential records of your complaint. |
||
Investigation |
||
Our team will get at the root of the complaint, by investigating it in detail. In case it takes longer than anticipated, we will keep you informed, and also communicate likely date of resolution. |
||
Resolution |
||
On completion of our investigation, we will offer appropriate resolution to the complaint. It could potentially include replacing treatment, fee refund, referring you to a specialist, or any other solution that meets your needs. |
||
Contact |
||
You are advised to write us at smiles@elitesmilestudio.co.uk. |
||